mijn kwaaltjes

In Maart (2011) kreeg ik een hartritme stoornis en werd met spoed naar het ziekenhuis gebracht. 
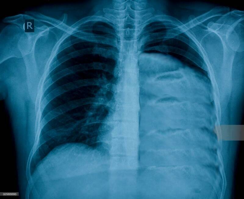
Hier werden foto’s gemaakt en een aantal scans, er werd me gemeld dat ik een aantal tumoren in borst , dikke-darm en prostaat zou hebben. 
19 April volgde de eerste thorax operatie 
Het is gebleken dat het een ander soort kanker is , dan dat er tijdens de eerste thorax operatie werd aangenomen .
Toen werd me gezegd dat ik nog maar zeer kort te leven had.
De tumor werd gedeeltelijk weg gehaald, bij en uit het hart. 
Tijdens de eerste operatie hebben ze een stukje weefsel onder de microscoop bekeken en dit leek op een lymfoom, wat zeer snel weer aangroeit en zich dan door het hele lichaam verspreid. 
Echter er werd ook een stukje op kweek gezet ergens in het lab, en na een week werd er vast gesteld dat het niet gaat om een lymfoom , maar dat het een thymoom is. 
Een thymoom is een tumor die zich in de zwezerik (Thymus) bevindt en heel langzaam groter wordt, het grote verschil is dat een thymoom een kanker is die zich meestal niet snel uitzaait. 
Probleem in mijn geval is ,dat de tumor in het hart is gegroeid en de zenuwen naar het middenrif lopen door de tumor. 
Inmiddels is ook de tweede thorax operatie uitgevoerd, op 23 Mei
Hierbij is de gehele tumor (Thymoom) weg gehaald ,dus ook de linker zenuw naar het midden rif. 
Waardoor de linker long in elkaar wordt gedrukt, en weinig of niet meer functioneert. 
Het bloed wordt nog wel van uit de rechter hartkamer via de linkerlong naar de rechter boezem gepompt , echter hoegenaamd niet van zuurstof voorzien. 

Door het bestralen is mijn rechter long van een harde rand voorzien zodat het beperkt is in het ventileren.
Inmiddels zijn uit de dikke-darm 5 grote poliepen weg gehaald (17 Mei) en op kweek gezet, twee er van zouden tumoren zijn. 
Een paar dagen daarna kreeg ik een heftige bloeding (20 Mei) waarna ze weer de dikke-darm in gingen met apparatuur , na twee dagen kon ik dan weer naar huis. 

Wel ben ik twee keer aan de prostaat geopereerd en dat heeft gevolgen ,

wat jammer genoeg van invloed is bij de pret in bed.

De thorax chirurg en de patholoog hebben samen de verwijderde tumoren nog eens bestudeert en zijn van oordeel dat alles radicaal is verwijdert . 
Echter de longarts heeft nog even contact op genomen met een hoogleraar oncologie in Groningen, en die was van oordeel dat het verstandiger is om toch nog het geopereerde gebied te bestralen. 
Hij geeft als reden dat de tumor niet tijdens de eerste operatie geheel is verwijdert , maar in twee operaties met het risico dat er hele kleine deeltjes tijdens de doorsnede en de uitsnede in de borst holte kunnen zijn achter gebleven, ook de randen van de longen en slokdarm , luchtpijp kunnen besmet zijn . 
Een bestraling kuur zou dan een grotere kans geven dat alles is verwijdert. 


Inmiddels 25 keer voor een achter bestraald in het operatie gebied, in vijf weken ,en scherpe pijn achter het borstbeen, en de linker tweede rib. Daar naast is er door die bestraling aan beide longen een harde rand gekomen waardoor ook het ademen met mijn rechter long wordt beperkt.
Verder heb ik last van ademnood en vaak extreem misselijk met veel darmgassen, waardoor ook de rechter middenrif niet goed kan functioneren.
Doorverwezen naar de pijnpoli , echter de Arts vond het niet raadzaam om nog is te gaan snijden in de borst holte, hij wilde het eerst maar is een half jaar aanzien. 
Ondertussen word ik 9-Juli 2012 in de Wezenlanden verwacht voor een ,,thorax operatie,, waarbij het borstbeen wordt bekeken en de stalen draden worden verwijderd. 
Ik hoop dat ik dan van de pijnstillers af kom en daardoor mijn darmen tot rust komen , zodat de rechterlong wat meer ruimte krijgt.


2 – 07 – 2012 Inmiddels zijn de Stalen draden verwijderd, echter na het bestralen was er veel uitgroei aan het borstbeen ,waardoor er veel bot moest worden weggehakt om bij de staaldraden te komen.

11 – 08 - 2012 Kreeg weer een flinke hartritme storing, en moest de ambulance komen, de hartslag werd soms heel traag en oppervlakkig waarbij ik dan een black-out kreeg, en dan weer snel. 
Na een uurtje werd de hartslag weer acceptabel, 116 p/m. 
Nog steeds misselijk , opgeblazen ,pijn in het borstbeen en ademnood.
11 – 06 – 2014 zijn er weer 9 poliepen uit mijn dikkedarm  gehaald.


Okt. 2014 , Nu wacht ik op een oproep van ziekenhuis in Tiel waar ik hopelijk zal worden geopereerd aan het linker middenrif, in Zwolle durven ze deze operatie niet uit te voeren.
Inmiddels is die operatie in Tiel ook uitgevoerd 16-06-2015 , het middenrif is iets strak gezet , maar kon door die harde rand aan de long niet naar wens worden uitgevoerd.
Ik blijf onder controle en zo nu en dan wat onderzoeken en medicatie bijstellen, en iedere 3 jaar volgt weer een operatie om polypen te verwijderen .

Ook heb ik met regelmaat hartritmestoornis , wat duizelig , misselijk en benauwd maakt.
20 – 12 – 2016
Inmiddels lijd ik al maanden aan een hartritme storing en na een longfoto en echo is gebleken dat ik een hoop vocht achter longen heb. Er werd een longpunctie gedaan en wat vocht is op kweek gezet.
Daar uit is gebleken dat ik aan hartfalen lijd , en daar wordt onderzoek naar gedaan en er wordt een cardioversie uitgevoerd. Deze cardioversie (hartreanimatie) is inmiddels uitgevoerd 21-01-2017 , echter na één dag was het al weer zoals voor de behandeling.


14 -3 - 2017 Laatste onderzoeken afgerond , vocht achter de longen en hart.
1 - 8 - 2017 een cardioversie ( hart reanimatie) om het hartritme te normaliseren. 
2 - 8 - 2017 op nieuw hartritme storing en vocht achter de longen,
medicijnen blijven gebruiken.

december 2017  2 X darm operatie

8-1-2018 Longfoto’s en long scan vocht achter de long is weg.

Boezem fibrillatie (hartritme storing)  blijft , alsmede kortademigheid  .

21 september weer darm onderzoek.

Juni 2020 erg kortademig , ik moet weer naar de cardioloog en longarts.

 2 X door de TC scan geweest , long functie , het is gebleken dat mijn ene long die nog werkt zorgwekkend achteruit is gegaan , het ademen is vaak moeilijk en ook het lopen is moeilijk.

Inmiddels 7 x polipen uit dikkedarm verwijderd

Het werk in huis doe ik nog zelf zij het dat ik wel wat makkelijker wordt en vooral trager. De tuin laat ik doen door een bedrijf.

Ik ga wel vrolijk verder met het helpen van mensen met computerproblemen , en mijn dagelijks rondje fietsen op m’n E-bike .

Ik loop moeilijk , met een stok en rollator, moeilijk en zeer korte afstanden.

Auto rijden gaat goed, maar liever geen lange afstanden.

Inmiddels 3 keer opgegeven door de Artsen maar loop hier nog steeds rond.

Dit bericht is niet om te klagen , maar omdat ik geen zin heb om steeds het verhaal te moeten vertellen. Dus ter kennisgeving . 

Dansen gaat niet meer , maar ik verzorg nog wel de agenda en websites .

2024 moest ik proefrijden voor m'n rijbewijs, geslaagt.

http://dansenvooralleenstaanden.jouwweb.nl

 

Ik ben dit  jaar 81 jaar geworden. 

............................